I-Wurf Tagebuch

28. April 2025 "Da kommt ja noch einer ....!"

Am späten Nachmittag, Montag den 28. April war es dann soweit. Kurz vor 18:00 Uhr begann Summer mit der Geburt, und obwohl es für sie das erste Mal war, verlief alles ganz harmonisch und unkompliziert.

Kurz vor 22:00 Uhr war es dann vermeintlich vorbei - 11 gesunde Welpen - die Freude war groß !.
Silke die uns unterstützt hatte (danke dafür!) war schon nach Hause gefahren, die Pizza stand auf dem Tisch und wir fingen an uns zu enspannen. Mit einem Auge schaut man dann ja doch immer in die Wurfkiste, uns als die Hälfte der Pizza verspeist war rief Vivien: "Da kommt ja noch einer !!"
Ganz selbstverstänlich hatte Summer den 12. Welpe auf die Welt gebracht. Nachdem auch der noch versorgt war kehrte endlich Ruhe ein.

12 gesunde Welpen, 4 Rüden und acht Hündinnen !!!

Wir sind sehr stolz auf Summer und gehen jetzt mit viel Freude in die Aufzuchtzeit. Ende Juni / Anfang Juli werden die Welpen dann zu ihren neuen Familien gehen, da wir mit einem so großen Wurf nicht gerechnet haben sind auch noch ncht alle Welpen vergeben. Es gibt sowohl noch Rüden als auch Hündinnen die ein Zuhause suchen.


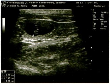
21. März 2025 Ultraschall


Kurz vor dem Urlaub noch schnell zum Ultraschall. Ist ja wichtig dass man weiß welches Futter man einpacken soll...

Und es sieht gut aus ! Es hat wohl gefruchtet !

Wenn jetzt weiter Alles gut geht werden Ende April / Anfang Mai kleine Summer und Baloo Kinder geboren werden.


27./28. Februar 2025: Summer wurde gedeckt

Ausflug nach Zatec (CZ) zu Baloo und Katerina Kolinkova. Das erste Decken einer Hündin ist immer etwas besonderes, da man noch nicht weiß, wie sie generell dazu steht und ob ihr der ja immerhin von uns ausgewählte Traumprinz auch gefällt. Aber alle Sorge war umsonst, Summer wusste gleich worum es ging und Baloo ist ein alter Hase – charmant aber zielstrebig. Jetzt hoffen wir auf ein positives Ultraschallergebnis Ende März und um den 1. Mai herum um Welpen von Baloo (Good Luck Shot Badaine).

Tschechien ist immer eine Reise Wert ... Karlsbad kennt jeder, aber wer war schon mal in Zatec ? Auch das lohnt sich !


Aber wenn man schon mal da ist, ein kleiner Abstecher nach Karlsbad muss sein ...